
|
Prof. Dr. S. Deniz Kumbasar |
Ankara
Üniversitesi |
Tıp
Fakültesi Kardiyoloji ABD
Kardiyoloji ve İç Hastalıkları Uzmanı |
|
İbn-i Sina
Hastanesi |
Tel: 0312 508 25 23 (Sekreter) |
Tel: 0312 508 27 41 (Oda) |
|
Muayene |
Mithatpaşa Caddesi (Kocatepe Camii Aşağısıda) No: 68/1
Kızılay/ ANKARA
Tel: 0312 418 82 58
Tel: 0312 425 77 73
Tel: 0312 418 67 80 |
|
E-mail:
drkumbasar@gmail.com |
|
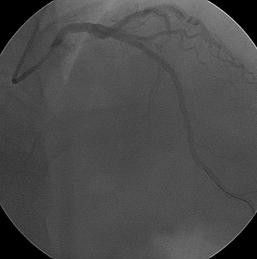
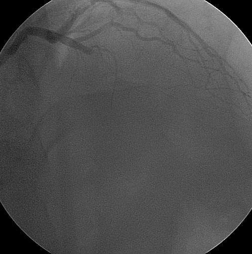
BALON veya STENT ile KORONER DAMARLARIN GENİŞLETİLMESİ |
|
Koroner balon ve stent uygulaması da koroner anjiyografi gibi radial arter (el bilek damarı) veya femoral arter (kasık damarı) yolu ile yapılabilir. El bilek damarının avantajı hastanın hemen ayağa kalkabilmesi, kıpırdamadan yatmasının gerekmemesidir, ayrıca damar bölgesinde kanama ve balonlaşma (anevrizma) ihtimali de daha azdır. ,
Koroner balon uygulamasında, daralmış veya tıkanmış olan koroner damar bölgesine ince bir tel üzerinden balon ilerletilerek darlık veya tıkanıklık üzerinde şişirilir ve ve darlık açılır, balon işleminden sonra genelde damarda biraz darlık kalır ve ileride aynı bölgenin tekrar daralma riski yaklaşık %40-50'dir. Şeker hastalarında, ince damar çapı olanlarda, darlık bölgesi uzun olanlarda bu oran daha da yüksek olabilir.
Koroner stent uygulamasında ise darlık veya tıkanıklık bölgesine bir balonun üzerinde sıkıştırılmış tel kafes bulunur, bu üzerinde tel kafes olan balon darlık bölgesinde şişirilince üzerindeki tel kafes genşileyerek damar duvarına gömülür ve darlığı dışarı doğru iter, sonra balon indirilip geri çekilir, stent o bölgede kalır, yaklaşık 4-6 hafta sonra stentin üzeri damar katmanı ile örtülür, yani damar KORONER STENT
içinden bakılınca stent gözle görülmez. Stent uygulama işleminden sonra aynı bölgede tekrar daralma olması riski yaklaşık %30-40'dır, ama yine şeker hastalarında, ince damar çapı olanlarda, darlık bölgesi uzun olanlarda bu oran daha da yüksek olabilir.
İlaçlı stentlerde ise stent üzerinden yavaşça salınan bir ilaç damarın tekrar daralma riskini azaltmaktadır, bu stentlerin tekrar daralma riski ise %5-10 civarındadır. |
|
|
|