Gerçekten de son yıllarda halk arasında ‘şeker hastalığı' olarak bilinen tıp dili ile ‘Diabetes Mellitus' hastalığı artış göstermektedir. Bunun sorunuzda da belirttiğiniz gibi iki önemli nedeni var: Birincisi ilerleyen teknoloji ile ucuzlayan test maliyetleri ve taşınabilir ölçüm cihazları sayesinde hemen herkesin kan şekeri düzeylerini ölçtürme imkanına kavuşması, sağlık hizmetinin yaygınlaşması, halkın sağlık konusunda bilinçlenmesi gibi olumlu gelişmeler sayesinde daha çok hastanın teşhis edilebilmesidir. İkinci neden ise batı toplumlarının da en büyük sorunlarından olan obezitenin yaygınlaşmasıdır, çağımızın sorunu obezitenin görülme sıklığı beslenme şeklinin yüksek kalorili ayaküstü gıdaların yaygınlaşması ve ulaşımda motorlu araçların daha sık kullanılarak adeta hareketsiz bir yaşam şeklinin ortaya çıkmasıyla açıklanmaktadır. Toplumlarda artan refah düzeyi ile gıdaya bilinçsizce ayırılan para ve gıda üreticilerinin rekabet amaçlı porsiyonlarını, dolayısıyla porsiyon başına kalorilerini de artırmaları söz konusudur, porsiyon başına kalori miktarı o kadar artmıştır ki bazı restoranlarda ‘menü' şeklinde satılan gıdaların bir porsiyonu günlük ihtiyacımız olan kalorinin %80'ini karşılamaktadır. 1900'lü yılların başında bir insan günde ortalama on bin adım atarken günümüzde iki-üç bin adım atmaktadır, bu da kalorinin daha az harcanması anlamına gelmektedir. Obezite vücutta artan yağ doku ve bozulan metabolizma sonucunda dokularda insüline karşı direnç oluşmasında en önemli nedenlerdendir, dokularda insüline direnç geliştiğinde daha fazla insülin salgılanır ancak bir süre sonra salınan insülin yeterli kalamaz ve şeker hastalığı gelişir. Her obezde şeker hastalığı gelişmemesi bazı kişilerin şeker hastalığına daha yatkın olduğunu göstermektedir. Ancak gerçek şu ki; obezitenin artması, şeker hastalığına yatkın bireylerde şeker hastalığının ortaya çıkmasına neden olmakta, şeker hastalığı da tüm vücutta tahribatına başlamaktadır.
Şeker hastalarında kalp rahatsızlıklarının sık görülmesi sadece yüksek şeker düzeylerine mi bağlıdır?
Şeker hastalığı yalnızca insülin ve kan şekerinin birbirine olan etkilerinden ibaret değildir. Şeker hastalığında bütün metabolizma etkilenir, özellikle de lipid metabolizması bozulur, kalp ve damar hastalıklarının şeker hastalığında daha sık görülmesinin en önemli nedeni kötü huylu kolesterol olarak bilinen düşük özgül ağırlıklı (dansiteli) lipidlerin (low density lipoprotein: LDL) artışıdır, yine lipidleri parçalayan bazı enzimlerin görevinde de bozukluklar olur. Şeker hastalarında bazı mekanizmalarla antioksidan maddelerin yapısı bozularak görevlerini yapamaz hale gelirler bu da damar sertliği oluşumunu hızlandırır. Artan kan şekeri vücudumuzda birçok yapı ve proteinle sıkıca birleşerek bu maddelerin görevini bozarak bazılarının damar duvarında daha çok birikimine neden olur. Özellikle damar iç duvarında pıhtılaşma görevi olan ve pıhtılaşmayı engelleme görevi olan maddelerin işlevleri ve birbirine olan oranları da şeker hastalarında bozulur, böylece hiç gerek yokken, yani damar içinde kanama yapacak bir hasar yokken pıhtılaşma maddeleri aktif hale geçip damar tıkanmalarına neden olabilmektedir. Şeker hastalarında damar genişletici görevi olan bazı maddelerin daha az üretilip daha az salınması da önemli bir faktördür.
Görüldüğü gibi olay esasında karmaşık bir yapıya sahiptir, ancak gerçek şu ki şeker hastalığı bütün metabolizmayı bozmakta ve bunun sonucunda da en çok damar sistemine zarar vermektedir.
Bir örnek verecek olursak şeker hastalarında koroner damarlarda daralma şeker hastalığı olmayanlara kıyasla 3-4 kat daha fazla görülmektedir.
Her obez (şişman) şeker hastası olur mu? Aşırı yağlı beslenen şeker hastası olur mu?
Şeker hastalığı obezite ile, dolayısıyla da beslenme ile yakından ilişkilidir. Ancak normal kilolu bir insan her ne kadar kötü besleniyor da olsa, aldığı kaloriyi harcıyor dolayısıyla obezleşmiyorsa şeker hastalığı gelişme riskinden bahsedemeyiz, olsa olsa yüksek kolesterol düzeyleri nedeniyle artmış damar hastalıklarından bahsedilebilir. Yukarıda da bahsettiğim gibi şeker hastalığı birçok mekanizma ile damar sisteminde hasara yol açmaktadır bunların sonucunda kalbin kas dokusunu besleyen koroner damar sisteminde de daralmalar ve tıkanmalara neden olabilmekte yani koroner arter hastalığı oluşturabilmektedir. Koroner damarlar tıkanırsa kalp krizi sonucu ölüm veya kalp yetmezliğine neden olabilmektedir. Şeker hastalığı kalbi uyaran sinir sisteminde hasara neden olabilmekte ritm bozuklukları ortaya çıkabilmektedir, kalp kasına az kan gidince oluşması gereken göğüs ağrısı da, ağrı iletici sinirlerin hasarlanması sonucu hissedilememekte, bunun sonucunda şeker hastaları farkına
varmadan kalp krizi geçirmekte ve ölümle karşılaşabilmektedirler. Kalbin kılcal damarlarında hasarlanma sonucunda kalp kası kandan oksijeni yeterince ayrıştıramamakta ve iyi beslenememektedir. Şeker hastalarında kalp kasında da hasar oluşarak hiç kalp krizi geçirmeden dahi kalp yetmezliği oluşabilmektedir.
Özetle şeker hastalığı kalpte koroner damarlarda daralma ve tıkanma, kalp sinirlerinde hasar sonucu ritm bozuklukları ve ağrı duyusu bozukluğuna, kılcal damarlarda hasar ve kalp kasında hasar oluşturarak kalp krizi olmadan dahi kalp yetmezliğine neden olabilmektedir.
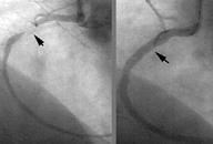
Şeker hastalarında kalbi besleyen damarları yani koroner damarları açmak için hangi yöntemler kullanılır?
Şeker hastalarında da damarları açmak için diğer tüm hastalarda kullanılan yöntemler kullanılmaktadır. Hepsinden önemlisi şeker hastalarında altta yatan nedenin, yani şeker hastalığının ve şeker hastalığı sonucu oluşan lipid bozukluklarının ilaçlar ile sıkı kontrol altına alınmasıdır.
Damar açıcı cihaz ve yöntemler balon, stent (tel kafes), rotablatör (yüksek devirli matkap uçlu cihazlar), lazer ve diğer bazı yöntemler olarak sıralanabilir. Bunların hepsi tüm hastalarda kullanılabilir, ancak şeker hastalarının en büyük dezavantajı bu yöntemler kullanıldıktan sonra damarın ‘tekrar daralma' oranının yüksek olmasıdır. Günümüzde en çok kullanılan yöntem olan stentleri ele alacak olursak şeker hastalığı olmayan bir kişide ortalama %30 olan tekrar daralma oranı, şeker hastalarında %50-60 lara çıkmaktadır.
Son zamanlarda çıkan ilaç; salınımlı stent (tel kafes) nedir, üstünlüğü var mıdır?
İlaç salınımlı stentler üzerlerine kaplanmış olan, damarın içe doğru kalınlaşmasını engelleyen bazı ilaçları yavaşça salgılarlar. İlacın salgılanma süresi stentin markasına, kullanılan ilaç ve ilacı taşıyan polimer denilen yapıların özelliğine göre değişmekle beraber 1-6 ay civarındadır. İlaç kaplı stentlerin sıkmasıyla beraber şeker hastalarında genişletilen koroner damarların tekrar daralma oranları %50 lerden %5-10 lara düşmüştür. Yapılan çalışmaların ön sonuçlarına göre, şeker hastalarında ilaç kaplı stent kullanılarak koroner damarlar açıldığında, koroner by pass cerrahisi ile aynı sonuçlar elde edilmekte, cerrahi operasyonun riski de hesaplandığında ilaç kaplı stent ile yapılan işlemler daha üstün gözükmektedir. Şeker hastalığı olmayan hastalarda da aynı üstünlükler söz konusudur ancak şeker hastaları kalp hastaları içindeki en yüksek riskli alt grubu oluşturduğundan elde edilen fayda da daha fazla olmaktadır. İlaç kaplı stent kullanılması için damarlardaki darlıkların stent yerleştirilmesine uygun olması gerekmektedir.
İlaç kaplı stentlerin tek dezavantajı yüksek teknolojileri ve araştırma geliştirme giderleri nedeniyle yüksek maliyetli olmalarıdır. Ülkemiz için olan bir dezavantajı da bu stentlerin sağlık sigorta sistemlerince karşılanmaması, dolayısıyla hastalar ancak stenti satın alabilecek mali güce sahipse kullanılabilmeleridir.